Airway Dentistry in Culver City

Airway dentistry is an essential part of physiologic dentistry, closely connected to neuromuscular balance and TMJ health. The position of the jaw, tongue, and teeth directly affects airway stability, muscle function, and how the jaw joints perform—especially during sleep.

When the airway is restricted, the neuromuscular system compensates. These adaptations can contribute to teeth grinding, jaw tension, TMJ dysfunction, headaches, disrupted sleep, and chronic fatigue. Rather than treating symptoms alone, airway dentistry evaluates how jaw position, muscle activity, and bite alignment influence breathing and joint health.

Using advanced physiologic diagnostics, we assess airway function, jaw alignment, and muscle balance to create personalized treatment plans. Treatment may include neuromuscular bite therapy, oral appliance therapy, airway-focused orthodontics, and coordinated care with medical or myofunctional providers.

By optimizing airway function within a physiologic framework, we help restore balance to the jaw, muscles, and joints—supporting better breathing, more stable function, and long-term relief.

If you’re experiencing jaw pain, clenching, disrupted sleep, or breathing concerns, a physiologic airway evaluation may help. Schedule a consultation to see how airway-focused neuromuscular dentistry can support long-term comfort and stability.

img86

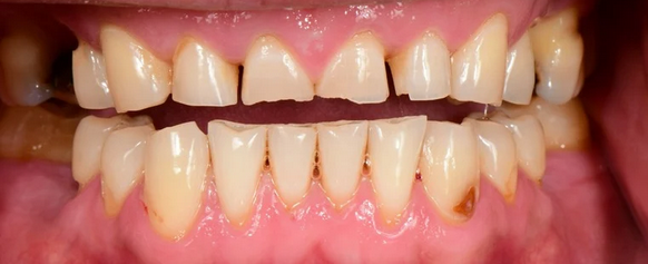
Examples of oral manifestations of physiologic/ airway dysfunction

img448

Nightguard

Custom nightguards are personalized appliances designed to protect your teeth and jaw from the effects of grinding and clenching, which can signal an underlying physiologic issue. While they effectively reduce pressure, prevent tooth wear, and relieve strain on the TMJ, nightguards treat the symptoms rather than the root cause. Made from durable, comfortable materials and tailored to your bite, they support restorative sleep and help maintain long-term oral health while complementing a comprehensive approach to jaw and bite wellness.

img445

Sleep Appliance

Comfortable, precise, and tailored to your needs, sleep appliances enhance long-term oral health and overall wellness. Mandibular advancement devices (MADs), a type of sleep appliance, gently reposition the lower jaw to keep the airway open during sleep, helping reduce snoring and mild to moderate obstructive sleep apnea. This non-invasive, custom-fitted solution promotes restorative sleep while protecting teeth and jaw structures.

Wake Up Refreshed

Our personalized airway treatments are designed to help you achieve deeper, more restorative sleep—so you can feel your best every day.