Veneers in Culver City: Smile with Confidence!

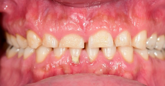
Before
Before
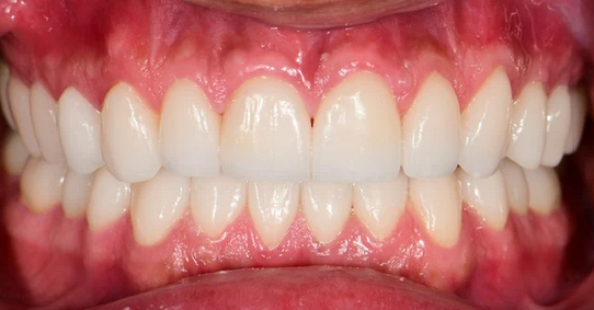
After
After

Full mouth rehabilitation is a comprehensive, personalized approach to restoring the health, function, and aesthetics of your entire smile. By combining advanced restorative, cosmetic, and preventive treatments, we address structural damage, bite issues, and missing or worn teeth. Using high-quality, precision-crafted restorations and state-of-the-art techniques, full mouth rehab not only enhances the appearance of your smile but also improves oral function and supports long-term health, delivering a confident, balanced, and beautiful result.

Screenshot 2026-02-24 141922-Photoroom

Veneers

Veneers are custom-crafted porcelain restorations designed to dramatically enhance the color, shape, size, and alignment of teeth. This approach involves minimal reshaping of the natural tooth to ensure a precise fit and seamless, long-lasting results. Meticulously designed for both beauty and function, traditional veneers offer a refined solution for achieving a balanced, confident, and radiant smile.

No Prep Veneers

No-prep veneers are ultra-thin, custom-crafted porcelain veneers designed to enhance your smile with minimal to no removal of natural tooth structure. Carefully bonded to the front of the teeth, they improve color, shape, and symmetry while preserving the integrity of your natural smile. This conservative, refined cosmetic option delivers beautiful, natural-looking results with long-lasting confidence.

Before
Before
After
After

Gum Recontouring

Gingival recontouring is a precise cosmetic and restorative procedure that reshapes the gum line to create a balanced, harmonious smile. Using advanced techniques, we carefully remove excess or uneven gum tissue, enhancing both aesthetics and oral health. This minimally invasive treatment not only improves the appearance of your smile but also supports healthy gums and long-term periodontal wellness.

Your Best Smile Starts Here

With advanced techniques and an artistic approach, we create smiles that look natural, feel comfortable, and inspire confidence.