Tooth Whitening in Culver City: Smile Brighter

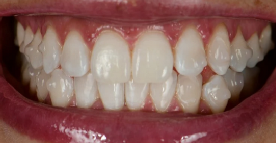
Before
Before
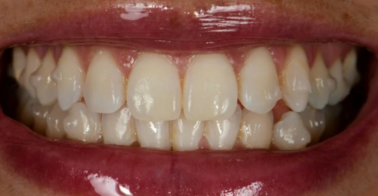
After
After

Tooth Whitening

Zoom ® Whitening is a professional, in-office teeth whitening treatment designed to safely and dramatically brighten your smile in a single visit. Using advanced light-activated technology, Zoom lifts deep stains while protecting enamel, delivering noticeably whiter results with minimal sensitivity. This efficient, high-end treatment leaves your smile radiant, refreshed, and confidently luminous.

The Opalescence Home Whitening Kit ® features preloaded trays for a convenient, professional-grade whitening experience at home. Each tray delivers the precise amount of gentle whitening gel to safely target stains while protecting enamel. With guidance from your dental team, this system offers gradual, long-lasting results, helping you maintain a radiant, confident smile with ease and comfort.

img122

Reveal Your Brightest Smile

With customized whitening solutions, we help you achieve a natural, even brightness that enhances your overall smile.