Perfect Balance of Passion and Compassion

Not all dentists are the same, and neither is every patient. At Dentist Near Me Culver City, we deliver exceptional dental care through a full spectrum of services thoughtfully tailored to each patient’s unique needs. Dr. Nicole Guirguis combines advanced training from the University of Tennessee Health Science Center with refined techniques gained through continued education at the Spear Institute, Las Vegas Institute, and SmileTrend Institute—supported by state-of-the-art technology and a deep commitment to compassionate, high-quality care. Dr. Guirguis is always looking for ways to further benefit her patients, if you want to know what she’s working on next, just ask!

Dental Sealants

Dental sealants provide an extra layer of protection against cavities, particularly in the grooves and surfaces of molars. This quick, painless treatment helps prevent decay before it starts, preserving your natural teeth and supporting long-term oral health. We also review how sealants fit into your overall preventive care plan, ensuring your smile stays strong and healthy for years to come.

SDF Treatment

Silver Diamine Fluoride (SDF) is a minimally invasive treatment that helps stop early tooth decay in its tracks. It’s a quick, painless solution that protects vulnerable teeth and supports overall oral health—especially for patients looking to prevent further cavities without extensive procedures. When paired with a dental sealant, it provides an added layer of protection, helping to preserve vulnerable teeth and prevent future cavities.

Remineralization Trays

Remineralization trays are a personalized, professional approach to strengthening your teeth and reversing early signs of decay. Custom-fitted to your smile, these trays deliver targeted minerals to enamel, helping to restore strength, protect against cavities, and support long-term oral health. Remineralization trays offer an excellent solution for patients at high risk of cavities due to weak tooth composition, poor diet, imbalances in the oral microbiome, or chronic dry mouth. Combined with expert guidance on daily use, they empower you to take an active role in maintaining a resilient, healthy smile.

img62

Perio Protect

Perio Protect is an FDA-approved, at-home treatment system designed to target and control harmful bacteria that contribute to gum disease. Custom-fitted trays deliver professional-grade medication directly into the gum pockets and can be used in combination with prescribed antibiotics for enhanced effectiveness. This comfortable, precise approach reduces inflamed, bleeding and tender gums, slows disease progression, and supports long-term gum health—empowering patients to take control of their oral wellness with confidence.

Gum Grafting

Gum grafting is a precise, restorative procedure designed to treat gum recession, protect tooth roots, and enhance the appearance of your smile. Using advanced techniques, tissue is carefully repositioned or augmented to restore healthy gum contours, reduce sensitivity, and support long-term periodontal wellness. This refined treatment not only safeguards oral health but also promotes a balanced, confident, and aesthetically pleasing smile.

img63
Screenshot 2026-02-24 132515
img72

Composite Fillings

Composite fillings are a natural-looking, durable solution for restoring teeth affected by cavities or minor damage. Made from tooth-colored materials, they blend seamlessly with your smile while providing strength and function. Beyond aesthetics, composite fillings help protect tooth structure and prevent further decay, ensuring long-term oral health with a comfortable, personalized approach.

Inlays and Onlays

Inlays and onlays are custom-crafted, lab-made porcelain restorations designed to repair teeth with moderate decay or damage while preserving natural tooth structure. Precision-fit and durable, they restore both function and aesthetics, blending seamlessly with your smile. These high-quality restorations support long-term oral health while providing a refined, natural appearance.

Crowns

Dental crowns “or caps” are custom-crafted restorations designed to fully encase and protect a damaged or weakened tooth with 360 degree coverage. Made from high-quality, lab-fabricated porcelain, they restore strength, function, and natural beauty, blending seamlessly with your smile. Crowns not only preserve long-term oral health but also provide a durable, refined solution for maintaining a confident, radiant smile.

Physiologic Dentistry

Physiologic dentistry (aka neuromuscular dentistry) focuses on optimizing the function of your bite and jaw to support overall oral and systemic health. By evaluating jaw alignment, muscle function, and occlusion, this approach addresses issues such as TMJ disorders, chronic pain, and uneven wear on teeth. This protocol offers a non-surgical remedy that can be completed in as little as 4–6 weeks. By combining quantitative EMG analysis of muscle activity, detailed CT imaging, and precise treatment planning, a customized plan is developed to address the root causes of TMJ and bite-related dysfunction. A TENS unit is used to promote muscle relaxation, remove lactic acid buildup, and gently lengthen contracted muscles. The result is a balanced bite, reduced discomfort, improved jaw function, and enhanced long-term oral and systemic wellness.

TMJ-related physiologic dysfunction can affect more than just the jaw—it can create a range of symptoms throughout the head, neck, and even the body. Common ailments associated with TMJ dysfunction include but are not limited to:

img76

Jaw & Facial Symptoms

  • Jaw & Facial Symptoms 
  • Jaw pain or tenderness
  • Limited or painful jaw movement/opening
  • Jaw locking or popping/clicking
  • Facial muscle fatigue or tension

Dental & Oral Symptoms

  • Worn, chipped, or cracked teeth from grinding/clenching
  • Tooth sensitivity 
  • Bite misalignment or discomfort while chewing

Systemic & Neurological Symptoms

  • Sleep disturbances (often related to bruxism)
  • Chronic fatigue due to muscle tension
  • Nerve pain or radiating discomfort to the face and upper body

Head & Neck Symptoms

  • Headaches or migraines
  • Earaches or ringing in the ears (tinnitus)
  • Neck and shoulder pain or stiffness
  • Dizziness or balance issues

Examples of oral manifestations of physiologic/ airway dysfunction

Airway Dentistry

Airway dentistry is an essential part of physiologic dentistry, closely connected to neuromuscular balance and TMJ health. The position of the jaw, tongue, and teeth directly affects airway stability, muscle function, and how the jaw joints perform—especially during sleep.

When the airway is restricted, the neuromuscular system compensates. These adaptations can contribute to teeth grinding, jaw tension, TMJ dysfunction, headaches, disrupted sleep, and chronic fatigue. Rather than treating symptoms alone, airway dentistry evaluates how jaw position, muscle activity, and bite alignment influence breathing and joint health.

Using advanced physiologic diagnostics, we assess airway function, jaw alignment, and muscle balance to create personalized treatment plans. Treatment may include neuromuscular bite therapy, oral appliance therapy, airway-focused orthodontics, and coordinated care with medical or myofunctional providers.

By optimizing airway function within a physiologic framework, we help restore balance to the jaw, muscles, and joints—supporting better breathing, more stable function, and long-term relief.

If you’re experiencing jaw pain, clenching, disrupted sleep, or breathing concerns, a physiologic airway evaluation may help. Schedule a consultation to see how airway-focused neuromuscular dentistry can support long-term comfort and stability.

img86
img448

Nightguard

Custom nightguards are personalized appliances designed to protect your teeth and jaw from the effects of grinding and clenching, which can signal an underlying physiologic issue. While they effectively reduce pressure, prevent tooth wear, and relieve strain on the TMJ, nightguards treat the symptoms rather than the root cause. Made from durable, comfortable materials and tailored to your bite, they support restorative sleep and help maintain long-term oral health while complementing a comprehensive approach to jaw and bite wellness.

img445

Sleep Appliance

Comfortable, precise, and tailored to your needs, sleep appliances enhance long-term oral health and overall wellness. Mandibular advancement devices (MADs), a type of sleep appliance, gently reposition the lower jaw to keep the airway open during sleep, helping reduce snoring and mild to moderate obstructive sleep apnea. This non-invasive, custom-fitted solution promotes restorative sleep while protecting teeth and jaw structures.

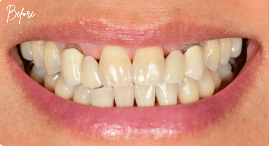
Before
Before
After
After

Full mouth rehabilitation is a comprehensive, personalized approach to restoring the health, function, and aesthetics of your entire smile. By combining advanced restorative, cosmetic, and preventive treatments, we address structural damage, bite issues, and missing or worn teeth. Using high-quality, precision-crafted restorations and state-of-the-art techniques, full mouth rehab not only enhances the appearance of your smile but also improves oral function and supports long-term health, delivering a confident, balanced, and beautiful result.

Screenshot 2026-02-24 141922-Photoroom

Veneers

Veneers are custom-crafted porcelain restorations designed to dramatically enhance the color, shape, size, and alignment of teeth. This approach involves minimal reshaping of the natural tooth to ensure a precise fit and seamless, long-lasting results. Meticulously designed for both beauty and function, traditional veneers offer a refined solution for achieving a balanced, confident, and radiant smile.

No Prep Veneers

No-prep veneers are ultra-thin, custom-crafted porcelain veneers designed to enhance your smile with minimal to no removal of natural tooth structure. Carefully bonded to the front of the teeth, they improve color, shape, and symmetry while preserving the integrity of your natural smile. This conservative, refined cosmetic option delivers beautiful, natural-looking results with long-lasting confidence.

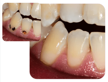
Before
Before
After
After

Gum Recontouring

Gingival recontouring is a precise cosmetic and restorative procedure that reshapes the gum line to create a balanced, harmonious smile. Using advanced techniques, we carefully remove excess or uneven gum tissue, enhancing both aesthetics and oral health. This minimally invasive treatment not only improves the appearance of your smile but also supports healthy gums and long-term periodontal wellness.

img118

Invisalign

Invisalign is a clear, custom-designed aligner system that gently and discreetly straightens teeth while improving bite alignment, supporting the long-term health and longevity of your teeth. Using a series of removable, virtually invisible trays, Invisalign gradually shifts teeth into optimal position, allowing for comfort, proper oral hygiene, and a natural appearance. This precise, high-end solution delivers a confident, beautifully aligned smile while promoting lasting dental wellness.

Before
Before
After
After

Tooth Whitening

Zoom ® Whitening is a professional, in-office teeth whitening treatment designed to safely and dramatically brighten your smile in a single visit. Using advanced light-activated technology, Zoom lifts deep stains while protecting enamel, delivering noticeably whiter results with minimal sensitivity. This efficient, high-end treatment leaves your smile radiant, refreshed, and confidently luminous.

The Opalescence Home Whitening Kit ® features preloaded trays for a convenient, professional-grade whitening experience at home. Each tray delivers the precise amount of gentle whitening gel to safely target stains while protecting enamel. With guidance from your dental team, this system offers gradual, long-lasting results, helping you maintain a radiant, confident smile with ease and comfort.

img122

White Spot Removal

ICON ® treatment is a minimally invasive cosmetic solution designed to improve the appearance of white spot lesions and early enamel imperfections. By infiltrating the porous enamel with a specialized resin, ICON blends discoloration seamlessly into the surrounding tooth structure—without drilling or removing healthy enamel. This gentle, refined approach enhances smile aesthetics while preserving the natural integrity of your teeth.

Screenshot 2026-02-24 144312

Extractions

Tooth extractions are carefully performed procedures used to remove damaged, decayed, or problematic teeth that cannot be restored. Using advanced techniques and gentle, precise care, we prioritize patient comfort while protecting surrounding tissues. Extractions not only relieve pain and prevent infection but also prepare the mouth for optimal long-term health and restorative treatments, ensuring a balanced, functional, and healthy smile.

Socket Preservation

Socket preservation is a proactive procedure performed at the time of tooth extraction and is commonly referred to as bone grafting. This regenerative treatment is designed to restore and preserve jawbone structure following tooth loss, helping prevent bone collapse and volume loss. By rebuilding lost bone, socket preservation creates a stable foundation for future restorations such as dental implants, supports facial structure, and reduces the risk of post-operative complications. Using advanced techniques and biocompatible materials, this approach promotes natural healing and long-term oral health.

Screenshot 2026-02-24 144709

Implants

Dental implants are a sophisticated, long-term solution for replacing missing teeth. Surgically placed into the jawbone, they act as a stable foundation for custom-crafted restorations that look, feel, and function like natural teeth. Implants preserve bone, support facial structure, and provide lasting oral health while delivering a confident, seamless smile.

Bridges

Dental bridges are fixed restorations that replace one or more missing teeth by anchoring to adjacent natural teeth or implants. Custom-crafted for strength and aesthetics, bridges restore bite function, prevent shifting of neighboring teeth, and provide a natural, balanced smile.

Screenshot 2026-02-25 151917

All-on-X

All-on-X is an advanced full-arch restoration that replaces an entire set of teeth using a fixed prosthesis anchored by a few strategically placed implants. This high-end solution offers immediate function, long-term stability, and a beautiful, natural appearance—restoring both confidence and quality of life.

Overdentures

Overdentures are removable prosthetics designed to fit securely over dental implants, combining stability with comfort. This hybrid solution improves chewing efficiency, enhances speech, and preserves jawbone structure while providing a natural-looking, confident smile that can be easily maintained.

Dentures

Dentures are custom-designed, removable restorations that replace missing teeth and surrounding tissues. Carefully crafted for comfort and natural aesthetics, dentures restore chewing function, support facial structure, and help you maintain a confident, radiant smile.

Partials

Partial dentures are removable appliances designed to replace one or several missing teeth while preserving your remaining natural teeth. They blend seamlessly with your smile, restore function, and provide a durable, aesthetically pleasing solution for missing teeth without extensive dental work.

Schedule Your Consultation Today

Unlock the potential of your smile with a personalized treatment plan from our experienced Culver City cosmetic dentists. Contact us to begin your journey toward a radiant, life-changing transformation.